±ÝÁÖ ÇÏ¿À»êµ¿ ÃßõÀº ³ë»ê º¸¾ÖÈ«ÀÍÄ¡°ú¸¦ ¿©·¯ºÐ²² ¼Ò°³ÇÕ´Ï´Ù.
³ë»ê º¸¾ÖÈ«ÀÍÄ¡°ú´Â û¾ç¿¡ À§Ä¡ÇÑ º¸¾ÖÈ«ÀÍÄ¡°úÀÇ ºÐÁ¡À¸·Î ûµµ½Ã ³ë»ê±¸¿¡ ÀÚ¸® Àâ°í Áö³ 10¿ù¸»ºÎÅÍ Áø·á¸¦ ½ÃÀÛÇß´Ù.
º¸¾ÖÈ«ÀÍÄ¡°ú´Â û¾ç º»¿øÀÇ ±è±¤±Ù ¿øÀå, ³ë»ê±¸ ºÐ¿ø Á¶¿ÁÈ ¿øÀå, À̵¿±Ù ±³Á¤ Àü¹®ÀÇ µî ¼¿ï´ë Ä¡°ú´ëÇÐÀ» Á¹¾÷ÇÑ È·ÁÇÑ ÀÇ·áÁø°ú ÀÌÁøÈ£ Çѱ¹ Ä¡°ú ±â°øÀü¹®°¡°¡ ÇÔ²² ÇÏ´Â ÀÓÇöõÆ®, ±³Á¤, Ä¡ÁÖ Àü¹® Ä¡°úº´¿øÀÌ´Ù.
º¸¾ÖÈ«ÀÍÄ¡°ú´Â È·ÁÇÑ ÀÇ·áÁøÀÌ ÀÖÀ» »Ó¸¸ ¾Æ´Ï¶ó »ç¶ûÀ» ³ª´©´Â ¾Æ¸§´Ù¿î ¸¶À½µµ ÀÖ´Ù.
º¸¾ÖÈ«ÀÍÄ¡°ú´Â 2009³âºÎÅÍ Ã»¾ç±¸ 8°³ Áö¿ª¿¡¼ Ä¡¾Æ¹«·áÀÚ¿øºÀ»ç¸¦ 42Â÷·Ê¿¡ °ÉÃÄ ÁøÇàÇØ ¿ÔÀ¸¸ç Ī´Ù¿ÀÁúº´°øÁ¦¼¾ÅÍ(青岛òðÜ»Íóð¤ñéãý)¿Í ÇÔ²² À̵¿½Ä Ä¡°úº´¿øÀ» ÅëÇÑ ¹«·á Ä¡¾Æ°ËÁøµµ ÁøÇàÇϰí ÀÖ´Ù.
¶Ç 2011³âºÎÅʹ û¾ç±¸(àò阳区) À¯Ä¡¿øÀ» ½ÃÀÛÀ¸·Î 3³â ³Ñ°Ô °¢ À¯Ä¡¿øÀ» ´Ù´Ï¸ç ¾î¸°À̵éÀÇ ¿Ã¹Ù¸¥ Ä¡¾Æ°ü¸®±³À°°ú ÃæÄ¡¿¹¹æ±³À°µµ ¹«·á·Î ÁøÇàÇϰí ÀÖ´Ù.
Áß±¹ À§»ý±¹ÀÌ ¿ä±¸ÇÏ´Â 1±Þ º´¿ø ±âÁØ¿¡ ¿ÏÀü ºÎÇյǴ ½Ã¹ü º´¿ø´ä°Ô ±ú²ýÇÏ´Ù~
Çѱ¹¿¡¼ ¼öÀÔÇÑ Ä¡°ú ÀÇ·á Àåºñµé¡¦
¿Ïº®ÇÑ ¼Òµ¶ ½Ã¼³·Î ÁøÇàµÇ´Â Áø°ø ¼Òµ¶, ºÐ·ù º° ¼Òµ¶, À§»ýÀº 100% ¾È½ÉÇϼŵµ ÁÁ´Ù.
ÃÖ÷´Ü ÃÔ¿µ ½Ã¼³µé¡¦


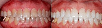
<Ä¡¾Æ ¹Ì¹é °úÁ¤/¹Ì¹é ÀüÈÄ ºñ±³>
º¸¾ÖÈ«ÀÍÄ¡°ú´Â Ä¡·á °úÁ¤ ¸ðµÎ 100% µ¶ÀÏ, ¹Ì±¹ µî ¼öÀÔÁ¦ ¾àǰÀ» »ç¿ëÇÑ´Ù.
º¸¾ÖÈ«ÀÍÄ¡°ú´Â ÀÓÇöõÆ® ±³Á¤, Ä¡°ú ±â°ø»ç, °£È£»ç¸¦ À§ÇÑ Çѱ¹½Ä ±³À°¼¾ÅÍ È«ÀÍ µ§ÅØ ¾ÆÄ«µ¥¹Ìµµ ¿î¿µÇϰí ÀÖ´Ù.
±Ù¹« ÁßÀÎ Ä¡°ú ³» Á÷¿øµéÀ» Ç×»ó Àü¹® Æ®·¹ÀÌ´×À» Çϰí ÀÖ´Ù.
Á¶¿ÁÈ ¿øÀå ÀÌ·Â -.¼¿ï´ëÇб³ Ä¡°ú´ëÇÐ Á¹¾÷ -.°³² ¿¹Ä¡°ú Æä·Î¿ì(¾÷Àúº£ÀÌ¼Ç ¹× ±³À°) -.¿¬¼¼ ÈÀÌÆ® Ä¡°ú -.´ëÇÑ Ä¡ÁÖÇÐȸ ȸ¿ø -.´ëÇÑ º¸Ã¶ÇÐȸ ȸ¿ø -.´ëÇÑ Ä¡°ú±³Á¤ ÇÐȸ ȸ¿ø -.´ëÇÑ Ä¡°ú ÀÓÇöõÆ® ÇÐȸ Á¤È¸¿ø
*³ë»êº¸¾ÖÈ«ÀÍÄ¡°ú´Â û¾ç º»¿ø°ú Áø·á½Ã½ºÅÛ, Áø·áºñ¿ëÀÌ µ¿ÀÏÇÔ*
Á¤Á÷ÇÑ Áø·á¸¦ ¾à¼Ó µå¸³´Ï´Ù. ´ç½ÅÀÇ ¾Æ¸§´ä°í °Ç°ÇÑ Ä¡¾Æ¸¦ º¸¾ÖÈ«ÀÍÄ¡°ú¿¡ ¸Ã°Üº¸½Ê½Ã¿À.
¾÷¼Ò¸í: ³ë»ê º¸¾ÖÈ«ÀÍÄ¡°ú ÁÖ¼Ò: ûµµ½Ã ³ë»ê±¸ Ÿµ·Î ¸®´Ù±¤Àå 3Ãþ ¿¬¶ô¹øÈ£:0532-8099-0570/0571 Áø·á½Ã°£: 9:00~17:30(ÁÖÁß) 9:00~16:30(ÁÖ¸»)
|